Our Treatments
At Peninsula Orthodontics, we offer high quality orthodontic treatment on the Mornington Peninsula.

How We Can Help You

Metal Braces

Metal braces are a traditional and highly effective orthodontic treatment to straighten teeth and correct bite issues. Made from high-quality stainless steel, metal braces consist of brackets bonded to the teeth and connected by a flexible archwire, which gradually applies pressure to shift the teeth into alignment.

One key benefit of metal braces is their durability and strength, which make them suitable for even the most complex dental cases.

With advancements in design, modern metal braces are smaller and more comfortable than ever, making them a reliable choice for achieving a healthy, well-aligned smile.

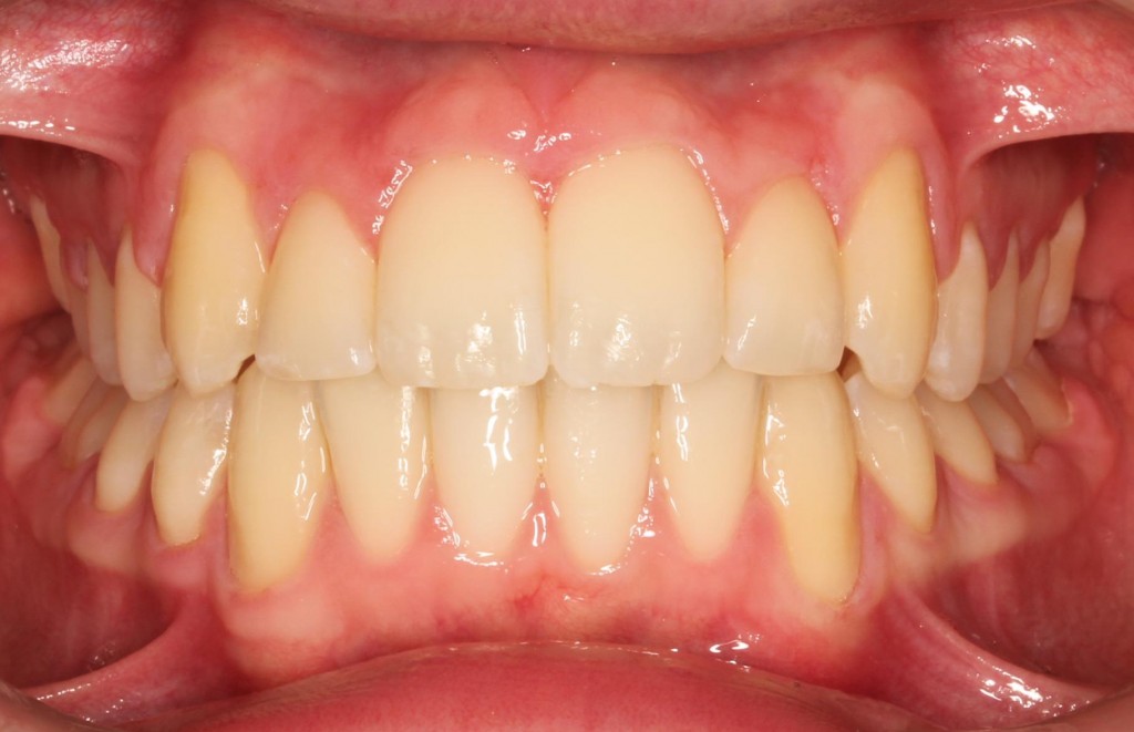
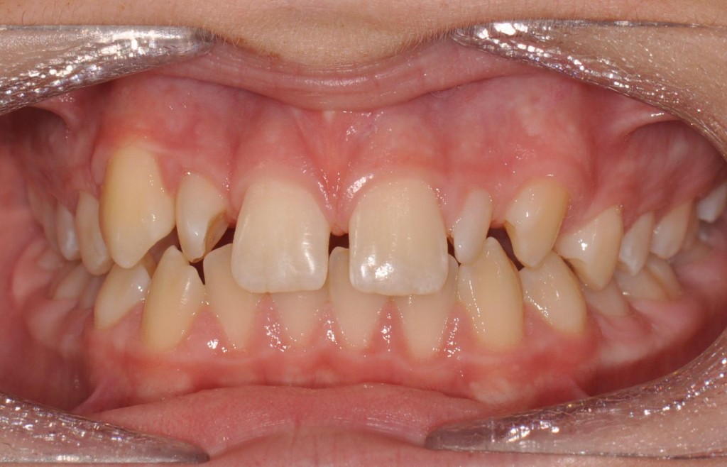
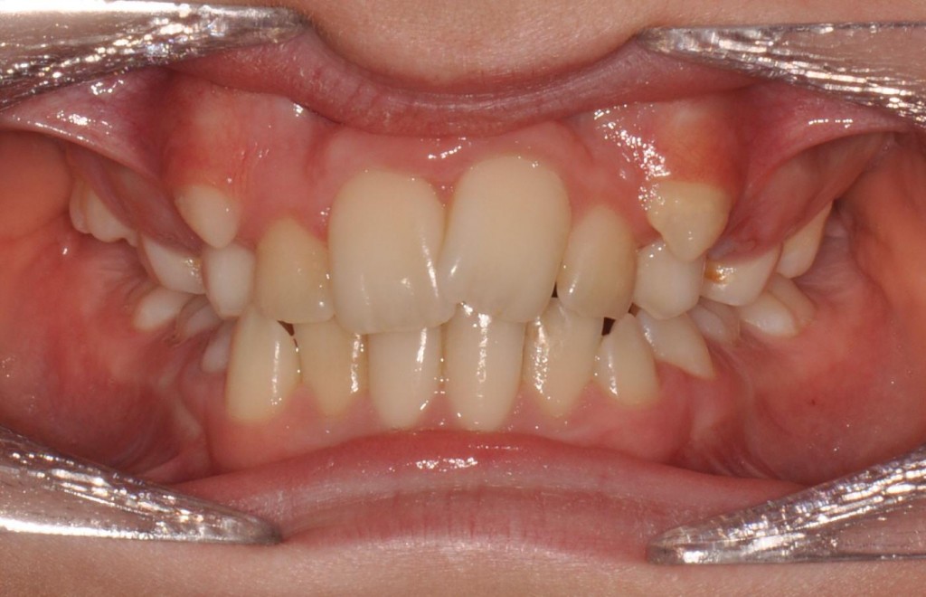
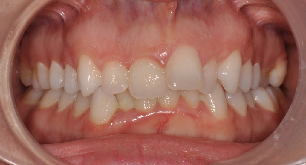
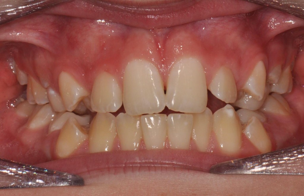
Our Results

Before
After
Before
After
Before
After
Before
After
Before
After

Frequently Asked Questions

What’s the difference between an orthodontist and a dentist?
An orthodontist is a dental specialist who works in diagnosing, preventing and treating problems related to improper bites and tooth position irregularities. Whilst some general dentists offer orthodontics (in addition to general dental services), only a specialist orthodontist has undergone a further three years of full-time specialist training. This gives orthodontists the required expertise in facial growth and dental development to move your teeth into their correct positions within the face and jaws, giving you a great smile and a functional bite.
When should I bring my child in for an orthodontic consultation?
The Australian Society of Orthodontists recommends children having their first visit around the age of 7. Even though treatment may not be required yet, an early assessment can help detect potential problems. Various orthodontic problems are best dealt with while your child is young. So, if you or your dentist/oral health therapist are concerned about your child’s teeth or bite, we recommend you come to see us. We can then assess the need for treatment and plan for it alongside your child’s growth. If treatment is not required at the time, we will monitor their growth and intervene (if necessary) when the time is right for their growth and development. If your child has had a baby tooth extracted due to decay or infection, we recommend visiting us so we can assess the need for a space maintenance appliance to avoid the impaction of successive adult teeth.
Should I wait until my child has all their adult teeth before seeing an orthodontist?
Comprehensive treatment with braces is usually done once all the adult teeth have erupted. However, many orthodontic problems can and should be corrected earlier. We believe in early intervention. By diagnosing and treating orthodontic problems early, the overall treatment required in the teenage years will be simplified and shortened. This will also help prevent further problems.
I’m an adult - is it too late for orthodontic treatment?
Definitely not! Orthodontic treatment can be done at any age, and we see many adults in our clinic. If you are familiar with orthodontic treatment because your children have undergone it, be mindful that your treatment as an adult may be undertaken differently. We also offer aesthetic options such as ceramic braces and inside braces, as well as invisible orthodontic treatments like clear aligners for those seeking a more subtle solution.
I’m worried I won’t be able to afford treatment - how much will it cost?
Treatment costs vary depending on individualised treatment plans. To make treatment more accessible, we offer orthodontic payment plans to all our patients.
How long are orthodontic treatments?
The duration of orthodontic treatment will depend on the individual patient and complexity of your case. On average, treatment can take anywhere from 18 to 24 months. However, it may be shorter or longer depending on your individual needs, complexity, and how well you follow instructions.
What can I expect during the orthodontic treatment process?

Your first orthodontic visit will be a consultation where we gather diagnostic records and formulate a plan going forward. It may be to monitor the development of the jaws and teeth where or to begin active orthodontic treatment.

Once an appliance is placed or issued, orthodontic treatment will generally involve regular appointments – usually between 3-12 weeks. Typically these appointments are short 10-20 minute appointments that we try to schedule outside of school or work hours. In these appointments we making adjustments to your braces or appliance to further progress treatment.

Some appointments will be longer – 30 or more minutes. These appointments include having your braces or appliance placed, repositioning some of your braces, or removing your braces. These appointments are usually in the late morning or early afternoon – this allows us to see a greater number of patients for adjustments before and after school.

It is important to keep regular appointments as missed appointments can be difficult to re-appoint as we are generally booked out a number of weeks into the future. We send a text message to help remind our patients but understand that sometimes circumstances may prevent you from making it to your appointment. Please ring us to re-book as soon as it is convenient so that we can keep your treatment on schedule.

Do I need a referral?
No, you do not need a referral to see a specialist orthodontist. However, we encourage you to visit your general dentist regularly for dental check-ups to ensure your gums and teeth are healthy prior to, during and after orthodontic treatment.
Does getting braces hurt?
No – there is no pain when braces are put on. Afterwards, we’ll see you regularly to have your braces adjusted and following these visits, there may be some discomfort that can last for a few days. Any discomfort can be easily managed with over-the-counter pain relief.
How do I look after my braces?

Cleaning

It is important to brush your teeth and braces after every meal to remove any food and plaque. You may use a regular manual toothbrush or an electric toothbrush and an interproximal brush.

Whether we have braces or not, flossing is something we should do every night. If you have not flossed before, flossing with braces will be difficult – but don’t give up. Keep at it and you’ll be able to do it proficiently in no time!

Diet

It is very important to avoid certain foods during your orthodontic treatment. Sticky, hard and chewy foods can break brackets, loosen bands, bend wires and cause decay. Keep in mind, if these things happen, it can slow down and lengthen your orthodontic treatment.

Other foods we should limit the consumption of are sugary and acidic foods. We should only consume these on special occasions, such as parties or events. Remember to ensure that you brush your teeth afterwards.

Inadequate brushing, flossing and poor diet will risk decalcifying the surface of the tooth. This appears as permanent, irreversible white marks on the front of your teeth which could be easily avoided. In severe cases, cavities can develop. Your gums can also become inflamed, swollen or start to recede with poor oral hygiene.

What do I do if I'm experiencing problems?

Problems? Call us!

Its not common to have orthodontic emergencies but if you have any issues at all please don’t hesitate to call us on 5975 5166 – we’re more then happy to help. We are open Monday to Friday from 8AM to 5PM.

Sore teeth

Most people will experience sore or achy teeth for a few days after having braces fitted or after regular adjustments. We recommend a soft diet during this time as pain is usually associated with pressure – either from chewing or clenching. If necessary, take a painkiller for some relief but if you have severe or persistent pain please give us a ring.

Ulcers

Ulcers can occur when something rubs against the skin in your mouth. Use wax over the bracket or appliance for relief and warm salty water mouth rinse. The ulcer should heal within the week and the skin in the area should now be tough enough without needing the wax. If you have a persistent ulcer ring us to arrange an appointment to have it checked.

Long or dislodged wires

This can be quite irritating and is not something we want our patients to experience. Unfortunately it is something which can occur within the first few orthodontic adjustments as the wire is very flexible or if there has been significant movement or space closure. Use wax over the exposed wire and give us a ring to arrange an appointment to remedy it.

Loose/broken bracket

This is usually the result of eating hard or sticky foods. It is important to avoid these foods as unnoticed broken brackets slow your treatment progression. If you notice a loose bracket make an appointment to have it rebonded. This is generally not considered an orthodontic emergency but we will usually see you within the next week.

My retainer or plate is hurting my teeth or gums

This can occur from the following:

  • New adult teeth coming through or general growth
  • Tooth movement
  • Not wearing the retainer/plate as instructed by your orthodontist
  • Gum/soft tissue inflammation

Please call us if you have issues with your retainer or plate to arrange an appointment. We prefer to see you as soon as you have an issue with your retainer or plate.

Personalised Care

Our dedicated team of orthodontic specialists is committed to providing exceptional care for patients of all ages, ensuring you receive the highest level of treatment.

Welcoming Environment

We prioritise creating a warm and welcoming environment where 
our patients feel comfortable and 
at ease throughout their orthodontic journey.

Latest Technology

Using state-of-the-art technology and proven techniques, we offer a wide range of orthodontic services, including traditional braces, clear aligners, retainers, and more.

Why our clients choose us

4.4
Based on 14 reviews
powered by Google
Tracy Williams
02:32 01 Jul 25
I cannot thank Allan and his team enough. From the girls in reception to all the staff who look after us in the chair. I can finally smile. Your care. Your patience. Your professionalism is above and beyond. I’d give you ten stars. But they only allow five. Thank you team. Thank you for allowing me to smile again. Xx
Jennifer Carr
05:42 22 May 25
Thank you to Dr Doug Lee and team for fixing my teeth and replacing my retainer. Very happy with the end result. Great service from all involved. Would highly recommend this clinic.
Ashleigh Warren
08:15 31 Jan 23
Thank you to Dr Lee/Dr Zhang and staff at Peninsula Orthodontics. I have recently finished my Invisalign treatment and couldn’t be happier with the result!
Would highly recommend to anyone looking to work on their smile!
Rachael Ackland
07:21 11 Aug 22
My son had another visit today . Cannot fault them. Professional, explain everything clearly, friendly, relaxed, efficient. Sally was fabulous and the new owner Dr. David is great. We are really glad he has come to the peninsula and bought this business.
Tiahnee Quinn
19:38 31 Mar 22
awesome!!! Thanks team for working with me towards my braces!
I recently got my braces removed from this amazing team. I couldn’t be happier with the service, the people and the end result that they helped me with. The payment arrangement that they gave me was very affordable and I was allowed to pay a deposit in advance before treatment began. People tell me all the time that my smile that I now have was worth all the work. I feel very lucky to have known this team and the way they cared for my dental work. Couldn’t recommend them more highly. Thank you Daniel and Team!